
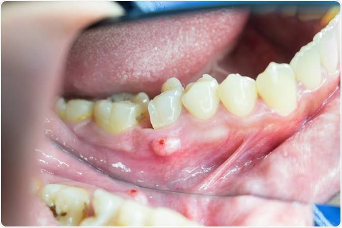
Dental abscesses are treated by removing the source of the infection and draining away the pus. Depending on the location of the abscess and how severe the infection is, possible treatments include: removing the affected tooth (extraction) – this may be necessary if root canal treatment isn't possible root canal treatment – a procedure to remove the abscess from the root of an affected tooth before filling and sealing it incision and drainage – where a small cut (incision) is made in the gum to drain the abscess (this is usually only a temporary solution and further treatment may be needed) Local anaesthetic will usually be used to numb your mouth for these procedures. More extensive operations may be carried out under general anaesthetic (where you're asleep). Antibiotics aren't routinely prescribed for dental abscesses, but may be used if the infection spreads or is particularly severe.