
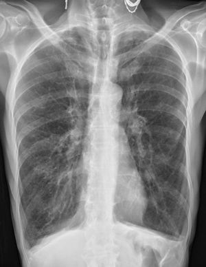
81 yr old male with 40 pack year smoking history presents to the emergency room with progressive dyspnoea and a chronic productive cough. On exam, the patient is cachectic with an increased AP diameter and his lips appear dusky. His oxygen saturation is 81% on room air and he has difficulty speaking in full sentences. Chest X-rays and CT scan done, what is the diagnosis?