
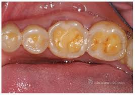
Dental erosion, also known as tooth erosion, is the chemical loss of mineralized tooth substance caused by exposure to acids not derived from oral bacteria. 1. Erosive demineralization is a chemical process characterized by acid dissolution of dental hard tissue, and its etiology is multifactorial.