
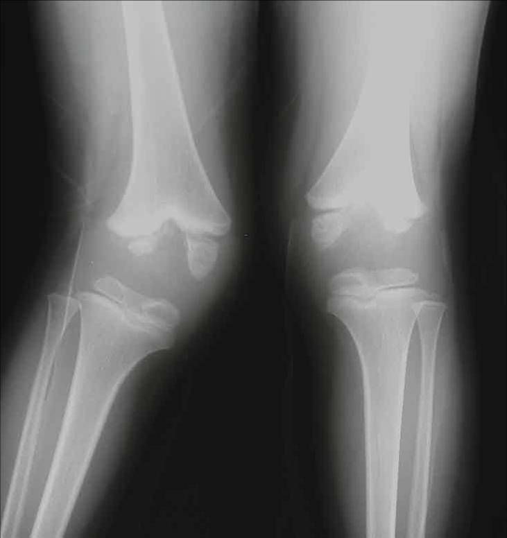
Unfortunately, there is no cure for hemophilic arthropathy, and there is no way to reverse the progression of the condition once it has begun. Surgical procedures such as joint replacements help with the symptoms of joint disease but will not return your joint to 100% normal functioning