
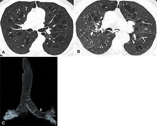
Symptoms include cough, sputum, wheeze and recurrent pulmonary infections, classically seen in the paediatric age group with selective bronchiectasis of the mid-order bronchioles. The literature describing diagnosis of Williams–Campbell syndrome in adult population is very sparse.