
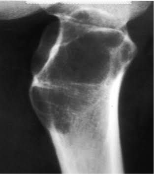
An aneurysmal bone cyst is a benign, blood-filled lesion in the bone that tends to expand or grow. While it is referred to as a cyst, it is a true benign bone tumor surrounded by a thin wall of bone. Aneurysmal bone cysts (ABCs) can occur in any bone, but are most commonly found around the knee, pelvis or spine.