Feed
Library
Learning
Discuss
Leaderboard
Journal
Sign in
Login
Sign up
Sign in
Feed
Library
Learning
Discuss
Leaderboard
Journal
Dr. A.P.S.Chhabra
about 7 years ago
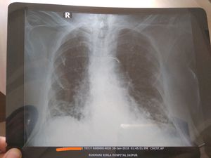
What are the findings in the CXR
Diagnosis
Respiratory
Pulmonology
Chestxray
Findings
2
1
1
Top rated comment
Dr. Fatemeh Kourkinejad
about 7 years ago
Pneumonia
0
Reply
Other comments
Sign in
to post comments. You don't have an account?
Sign up now!
Related posts
Doctor Explains: How to PURIFY Smokers Lungs!
Bronchitis
Effects of sugar on teeth
Principles of investigation and diagnosis
Immunostaining diagnosis
Immunostaining diagnosis
Lactose Intolerance Diagnosis
VRF Diagnosis
Supraventricular tachycardia- Diagnosis
Atrial Septal Defect- Diagnosis
Recent MCQs
Show more MCQs
Recent flashcard sets
Show more flashcards
Feed
Learn
Add
Search
Discuss