MEDizzy
MEDizzy
syeda irha hasan
syeda irha hasanabout 3 years ago
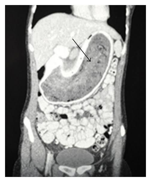
Trichobezoars

Trichobezoars

Trichobezoars (concretions of hair) are unusual and are usually found in young psychiatric females, who often deny eating their own hair (trichophagy). It is caused by the pathological ingestion of hair, which remains undigested in the stomach

0
Other commentsSign in to post comments. You don't have an account? Sign up now!

Recent MCQs















Show more MCQs

Recent flashcard sets















Show more flashcards