
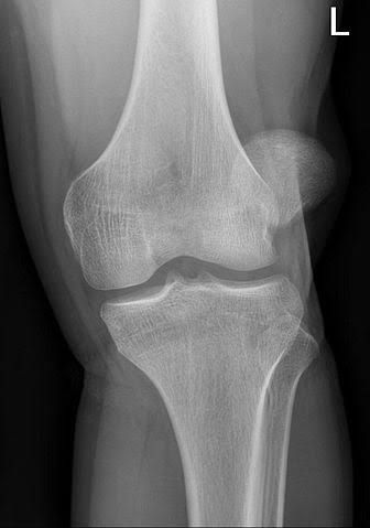
Patellar malalignment is a translational or rotational deviation of the patella relative to any axis that may lead to an aberrant dispersion of the forces transmitted through the PF joint (17). The main force of concern is lateral in the coronal and especially axial planes (18).