MEDizzy
MEDizzy
Hunain
Hunainabout 3 years ago
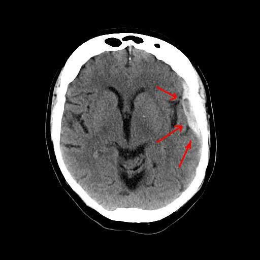
Cause of subdural hemtoma

Cause of subdural hemtoma

The most common cause for a subdural hematoma is head injury. This can be from a car crash, fall, or violent attack. This sudden impact can strain the blood vessels within the dura, causing them to rip and bleed.

0
Other commentsSign in to post comments. You don't have an account? Sign up now!

Recent MCQs















Show more MCQs

Recent flashcard sets















Show more flashcards