MEDizzy
MEDizzy
Hunain
Hunainabout 3 years ago
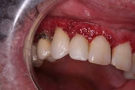
What is strawberry gingivitis?

What is strawberry gingivitis?

Hyperplastic gingival lesions or strawberry gingivitis, is a characteristic sign of Wegener's granulomatosis. The latter consists of reddish-purple exophytic gingival swellings with petechial haemorrhages thus resembling strawberries.

0
Other commentsSign in to post comments. You don't have an account? Sign up now!

Recent MCQs















Show more MCQs

Recent flashcard sets















Show more flashcards