MEDizzy
MEDizzy
Hunain
Hunainover 3 years ago
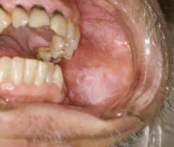
What is leukoplakia

What is leukoplakia

Leukoplakia is a condition in which one or more white patches or spots (lesions) forms inside the mouth. Leukoplakia is different from other causes of white patches such as thrush or lichen planus because it can eventually develop into oral cancer.

1
Other commentsSign in to post comments. You don't have an account? Sign up now!

Recent MCQs















Show more MCQs

Recent flashcard sets















Show more flashcards