
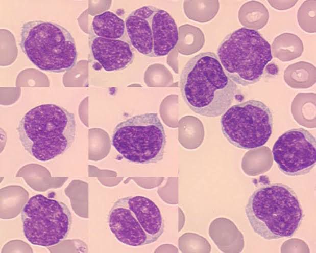
Mantle cell lymphoma affects the B cells. It develops in the part of the lymph node called the mantle zone. The abnormal B lymphocytes start to collect in the lymph nodes or body organs. They can then form tumours and begin to cause problems within the lymphatic system or the organ where they are growing.