MEDizzy
MEDizzy
syeda irha hasan
syeda irha hasanabout 3 years ago
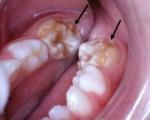
Enamel hypoplasia

Enamel hypoplasia

Hypoplastic teeth, also known as enamel hypoplasia, is when your enamel has not formed properly or has formed incorrectly. There are many reasons why this might happen, including diseases, prenatal issues, and environmental conditions

0
Other commentsSign in to post comments. You don't have an account? Sign up now!

Recent MCQs















Show more MCQs

Recent flashcard sets















Show more flashcards