
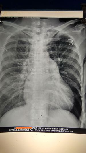
It is the case of Isolated TR. See left aorta hypertrophied, and left ventricle as well in Chest X-ray.
Usually TR presents with other cardiac Manifestation but in this case The patient had only TR of unknown etiology.
I think there's pneumothorax with collapsed lung on the left side, increased bronchial markings on right