MEDizzy
MEDizzy
MUNENDRA A
MUNENDRA Aabout 7 years ago
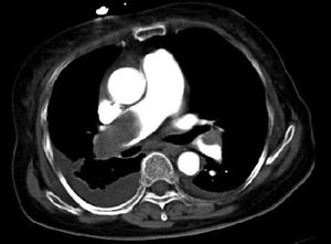
Diagnosis??

Diagnosis??

19
Other commentsSign in to post comments. You don't have an account? Sign up now!
about 7 years ago

Empyema right lung? Pulmonary emboli ?

about 7 years ago

Perfectly emboli, u r awesome

about 7 years ago

Thanks, did the patient have pleural effusion of right and left lung, too?

about 7 years ago

Embolism

Recent MCQs















Show more MCQs

Recent flashcard sets















Show more flashcards