
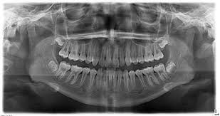
An OPG (Orthopantomagram) is a panoramic scanning dental X-ray of the upper and lower jaw. It is also sometimes called Orthopantomagraph or by the proprietary name Panorex. It shows a flattened two-dimensional view of a half-circle from ear to ear. Panoramic x-rays allow images of multiple angles to be taken to make up the composite panoramic image, where the maxilla (upper jaw) and mandible (lower jaw) are in the viewed area. The structures that are outside the viewed area are blurred. At some stage in your dental treatment, your dentist will likely take an OPG.