MEDizzy
MEDizzy
Sadia
Sadiaabout 1 year ago
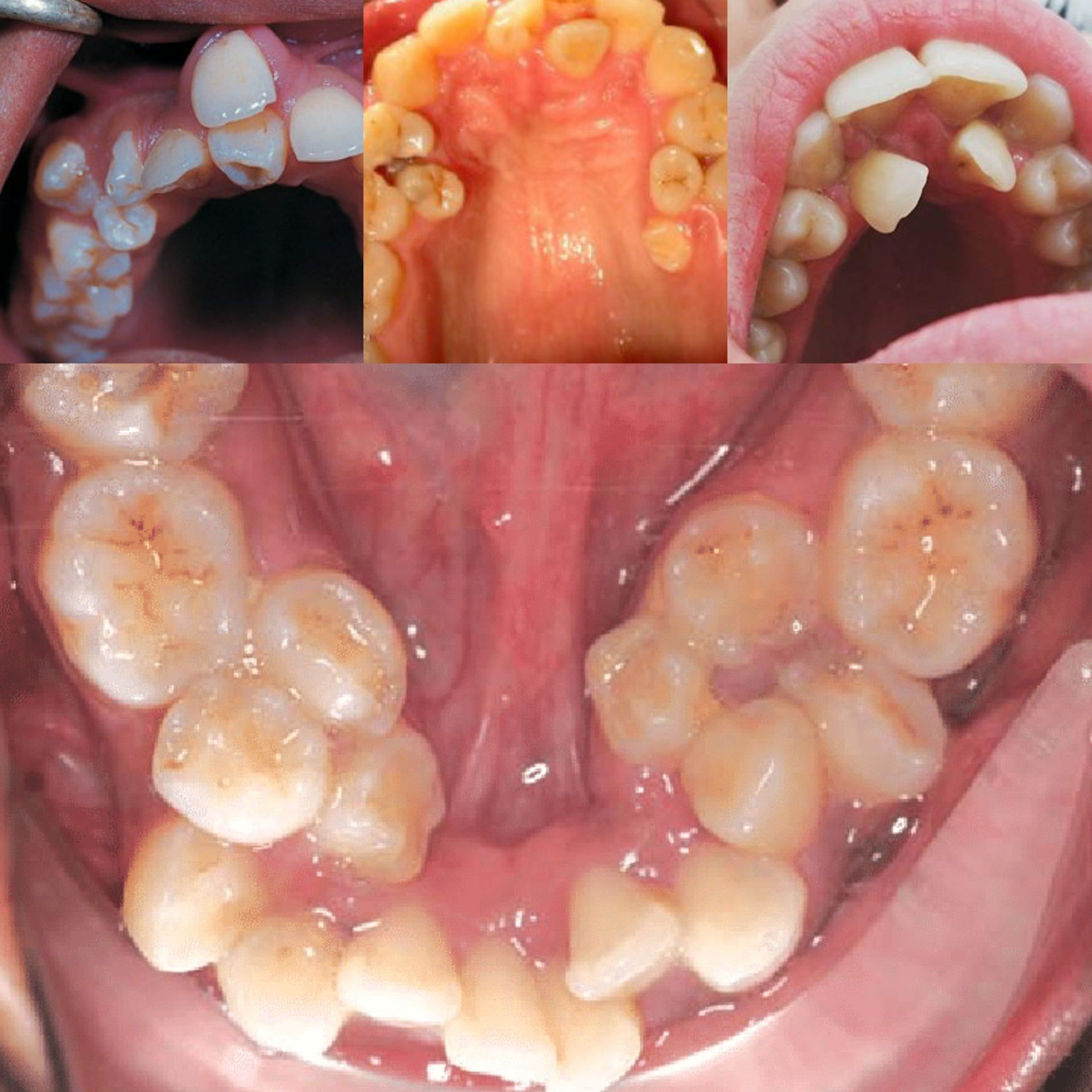
Hyperdontia

Hyperdontia

You have two sets of teeth in your life. As a child, you have 20 primary or baby teeth. These teeth fall out, and 32 permanent, or adult, teeth replace them. But some people end up with more than 32 teeth. This is known as hyperdontia.

11
Other commentsSign in to post comments. You don't have an account? Sign up now!

Recent MCQs















Show more MCQs

Recent flashcard sets















Show more flashcards