Feed
Library
Learning
Discuss
Leaderboard
Journal
Sign in
Login
Sign up
Sign in
Feed
Library
Learning
Discuss
Leaderboard
Journal
Sheeza Basharat
over 3 years ago
Prostatic Adenocarcinoma
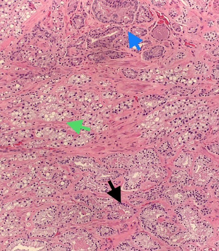
Prostatic adenocarcinoma demonstrating multiple different morphology, which is not at all uncommon.
General
Learning Materials
Pathology
Basics
Histopathology
show 3 more
1
0
1
Other comments
Sign in
to post comments. You don't have an account?
Sign up now!
Related posts
Key Aspects of Cord Prolapse
Cord Prolapse- Types
The Nucleus Gigantocellularis
Furosemide Dosing Protocol
Peripartum Cardiomyopathy
Bitechchain Review - Is Bitechchain Scam Or legit?
LipoFit Reviews - Dr Jennifer Ashton's Gelatin Caps for Weight Loss!
MemoMeister Kapseln | Berlin
Prestigio Marketdex Review - Can Beginners Profit With Prestigio Marketdex? Expert Insights
BurnSlim Official | Support Your Weight Management Journey
Recent MCQs
Show more MCQs
Recent flashcard sets
Show more flashcards
Feed
Learn
Add
Search
Discuss