Feed
Library
Learning
Discuss
Leaderboard
Journal
Sign in
Login
Sign up
Sign in
Feed
Library
Learning
Discuss
Leaderboard
Journal
Sheeza Basharat
over 3 years ago
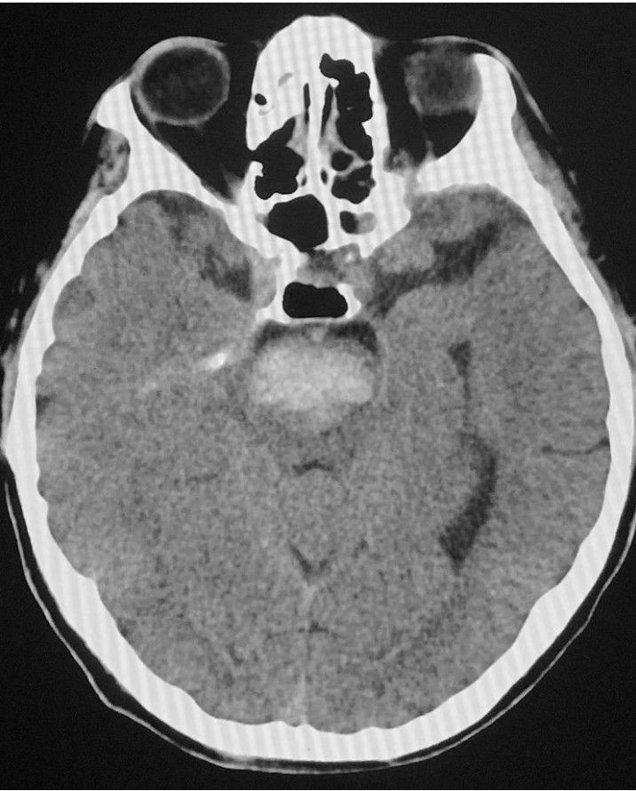
Spontaneous Intra-cerebral Hemorrhage
Here is a radiographical image of spontaneous intra cerebral hemorrhage.
General
Learning Materials
Neurology
Radiology
Mri
show 4 more
1
0
1
Other comments
Sign in
to post comments. You don't have an account?
Sign up now!
Related posts
Atrial Septal Defect
Atrial Septal Defect- Diagnosis
Cat Bite Abscess
Dog Bite Levels
Dog Bite Categories
Rabies
Syphilitic Gumma
Epidermolysis Bullosa
Epidermolysis Bullosa-Treatment
Acromegaly - Treatment
Recent MCQs
Show more MCQs
Recent flashcard sets
Show more flashcards
Feed
Learn
Add
Search
Discuss