
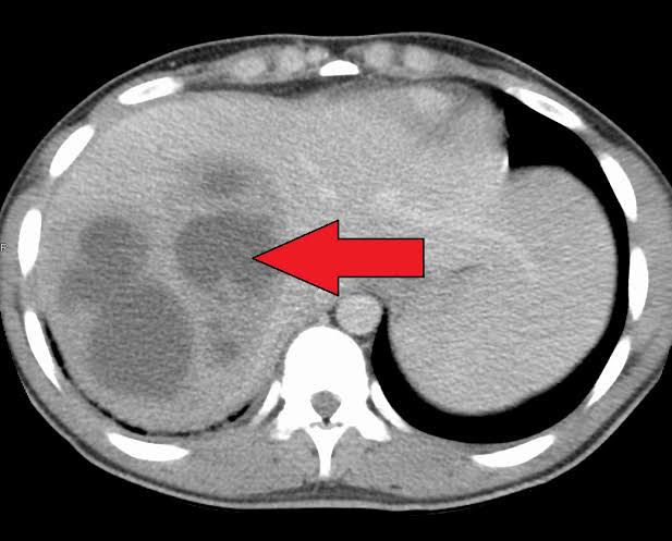
Pyogenic liver abscess is a pus-filled pocket of fluid within the liver. Pyogenic means producing pus. A liver abscess can develop from several different sources, including a blood infection, an abdominal infection, or an abdominal injury which has been become infected.