
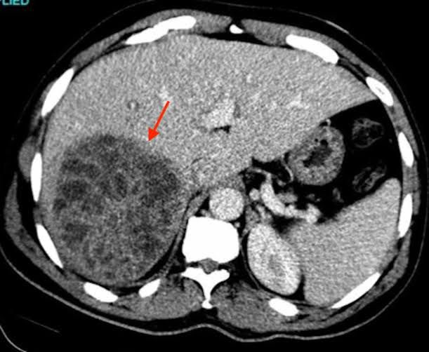
A liver abscess is defined as a pus-filled mass in the liver that can develop from injury to the liver or from an intra-abdominal infection disseminated from the portal vein. The majority of these abscesses are categorized as pyogenic or amoebic, although a minority are caused by parasites and fungi.