
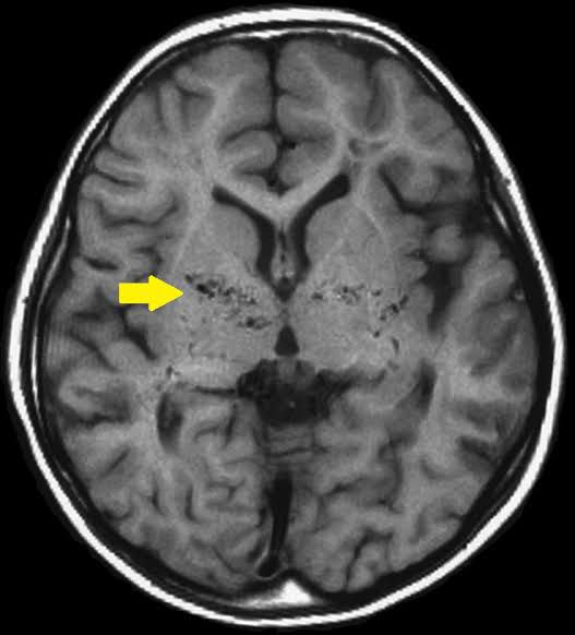
Moyamoya disease is a rare blood vessel (vascular) disorder in which the carotid artery in the skull becomes blocked or narrowed, reducing blood flow to your brain. Tiny blood vessels then develop at the base of the brain in an attempt to supply the brain with blood. The condition may cause a ministroke (transient ischemic attack), stroke or bleeding in the brain. It can also affect how well your brain functions and cause cognitive and developmental delays or disability.