
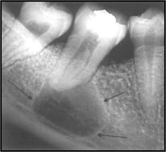
Radicular cyst is an inflammatory jaw cyst originating from epithelial remnants of the periodontal ligament as a result of inflammation that is generally a consequence of pulp necrosis. The resulting cyst commonly involves the apex of the affected tooth