
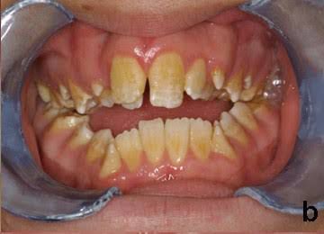
Amelogenesis imperfecta is a disorder of tooth development. This condition causes teeth to be unusually small , discolored, pitted or grooved, and prone to rapid wear and breakage. Other dental abnormalities are also possible. Amelogenesis imperfecta is caused by mutations in the AMELX, ENAM, and MMP20 genes . These genes provide instructions for making proteins that are essential for normal tooth development.