
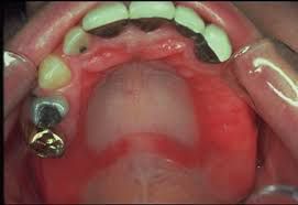
Denture stomatitis (DS) or thrush is a localized infection in the mouth caused by yeast or fungus. It is caused by a high concentration of microbes called candida. The infection is non-communicable and affects palatal and gingival mucosa. DS is also commonly called 'denture sore mouth' and 'prosthetic stomatitis. '