MEDizzy
MEDizzy
Zunaira saleh
Zunaira salehabout 1 year ago
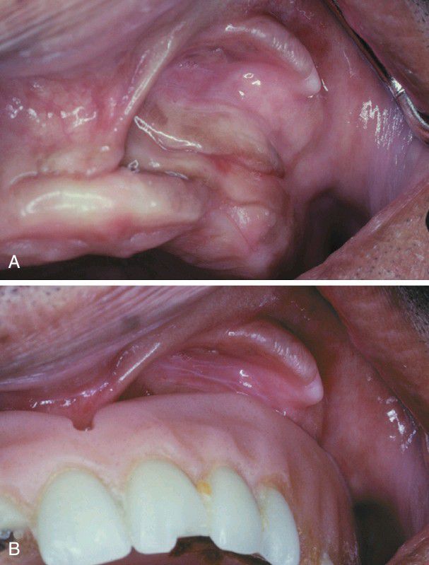
Epulis Fissuratum

Epulis Fissuratum

A, Several folds of hyperplastic tissue in the maxillary vestibule. B, An ill-fitting denture fits into the f issure between two of the folds. 

0
Other commentsSign in to post comments. You don't have an account? Sign up now!

Recent MCQs















Show more MCQs

Recent flashcard sets















Show more flashcards