MEDizzy
MEDizzy
Zunaira saleh
Zunaira salehover 1 year ago
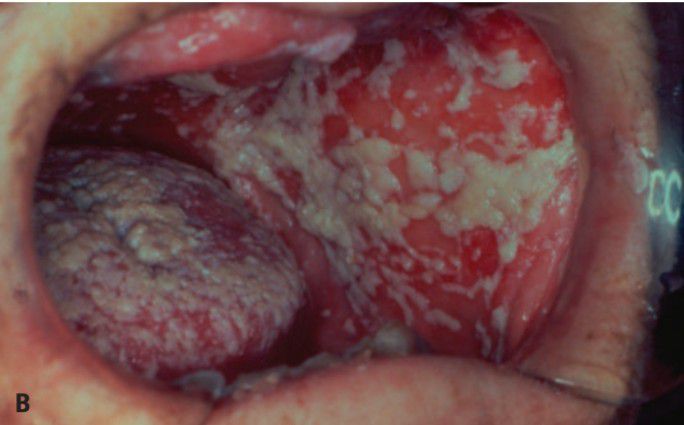
Severe oral thrush

Severe oral thrush

Thrush is the prototype of the oral infections caused by Candida. It is a superficial infection of the outer layers of the epithelium, and it results in the formation of patchy white plaques or flecks on the mucosal surface

0
Other commentsSign in to post comments. You don't have an account? Sign up now!

Recent MCQs















Show more MCQs

Recent flashcard sets















Show more flashcards