MEDizzy
MEDizzy
Hunain
Hunainover 3 years ago
Orthodontics

Orthodontics

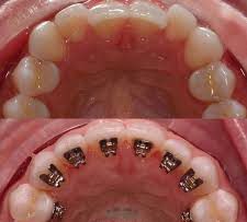
Orthodontics is a branch of dentistry that treats malocclusion, a condition in which the teeth are not correctly positioned when the mouth is closed. This results in an improper bite. An orthodontist specializes in making the teeth straight.

2
Other commentsSign in to post comments. You don't have an account? Sign up now!

Recent MCQs















Show more MCQs

Recent flashcard sets















Show more flashcards