
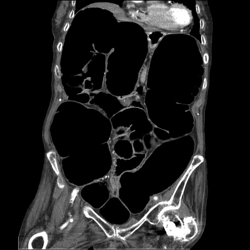
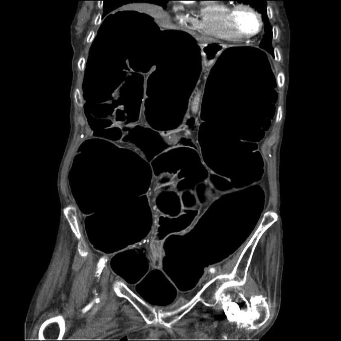
Ogilvie's syndrome is an example of adynamic bowel obstruction. It is one of the causes of pseudo-obstruction of the colon resulting in dilatation of proximal part in an acute setting. Typically, no mechanical cause of the obstruction is found. Reference: https://www.uptodate.com/contents/acute-colonic-pseudo-obstruction-ogilvies-syndrome#:~:text=and%20diagnosis%22.)- Image via: https://en.wikipedia.org/wiki/Ogilvie_syndrome