
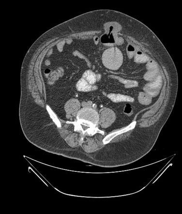
Richter hernia, also known as partial enterocele, refers to protrusion of only a small part of the entire circumference of the bowel. The hernia typically occurs in antimesenteric border. Congenital defects in the abdominal walls are usually associated with this type of hernia. Reference: https://pubmed.ncbi.nlm.nih.gov/16536253/#:~:text=Richter%20hernia%20(partial%20enterocele)%20is Image via: https://radiopaedia.org/articles/richter-hernia-1