
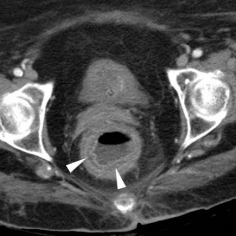
Proctitis refers to inflammation of the rectal mucosa. There are numerous causes of proctitis. These include infections, radiations, and immunosuppression. Exposure to few chemicals can cause proctitis. It may even involve colon, hence called 'chemical colitis'. Following are the chemicals associated with chemical proctitis and chemical colitis: - alcohol - formalin - acetic acid - sulfuric acid - glutaraldehyde - herbal enema - ergotamines - ammonia -disodium hydroxide - hydrogen peroxide - chloroxylenol - potassium permanganate Reference: https://www.eurorad.org/case/15787 Image via: https://www.google.com/url?sa=i&url=https%3A%2F%2Fwww.eurorad.org%2Fcase%2F15787&psig=AOvVaw0lk_Fr6p23YXPE2OUiDORG&ust=1644566906413000&source=images&cd=vfe&ved=0CAsQjRxqFwoTCKi3rpvX9PUCFQAAAAAdAAAAABAD