
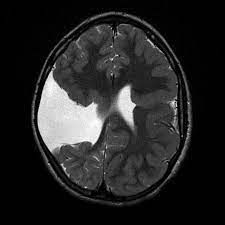
Schizencephaly refers to abnormal cleft in the brain. These clefts are lined by grey matter. It is a rare developmental disorder. The individual with schizencephaly may be diagnosed antenatally, whereas in adult life, it may present with motor disturbances and seizures. Reference: https://radiopaedia.org/articles/schizencephaly Image via: https://radiopaedia.org/articles/schizencephaly