
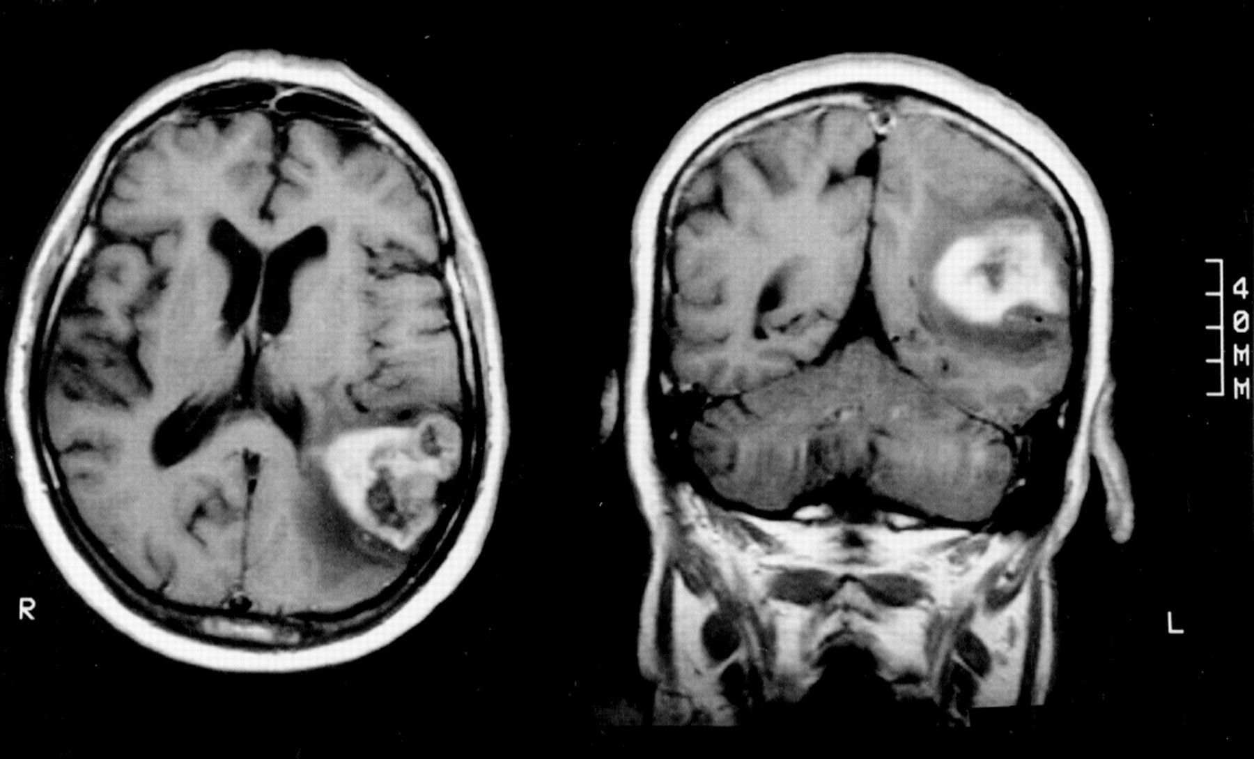
Gerstmann syndrome is a rare constellation of signs and symptoms attributed to brain tumor in the dominant parietal lobe of the brain. The condition is characterized by: - inability to calculate i.e., acalculia - inability to draw i.e., agraphia - loss of distinction between left and right side - inability to identify own or another's finger i.e., finger agnosia Reference: https://rarediseases.org/rare-diseases/gerstmann-syndrome/#:~:text=Gerstmann%20syndrome%20is%20a%20rare%20disorder%20characterized%20by%20the%20loss,inability%20to%20make%20the%20distinction Image via: https://jnnp.bmj.com/content/63/3/399