
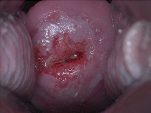
Cervical intraepithelial neoplasia (CIN) is a premalignant lesion of cervical cancer. Regular screening of cervix is done in order to detect and treat CIN and cervical cancer through obtaining cells from cervix for cytology. Following findings are consistent with the presence of CIN: - white appearance of epithelium on acetic acid application - no uptake of brown color by CIN epithelium due to loss of glycogen stores secondary to rapid, unregulated cell growth - increased angiogenesis Reference: Gynaecology by Ten Teachers Image via: https://en.wikipedia.org/wiki/Cervical_intraepithelial_neoplasia