
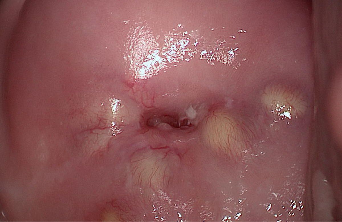
The endocervix is covered with columnar epithelial cells, whereas, ectocervix is lined with squamous epithelium. The junction of these two epithelia is known as Squamocolumnar Junction. The cells of ectocervix are replaced by columnar epithelium with puberty and increasing age. Abnormal replacement of epithelium can lead to coverage of glands by squamous cells. Obstruction of gland and secondary cystic dilatation can lead to formation of nabothian cyst. Reference: https://www.mountsinai.org/health-library/diseases-conditions/nabothian-cyst#:~:text=A%20nabothian%20cyst%20is%20a,glands%20that%20normally%20secrete%20mucus. Image via: karlstorz.com/doc/interactivebrochure/3500106/content/c5_p028_squamous_epithelium.html
What is risk of turning into a malignant condition?