
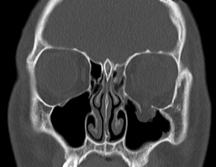
The floor of the orbit is made up of maxilla and zygomatic bone. Fracture in this part of the orbit is most common among all the blowout fractures of orbit. Patient with orbital floor fracture may present with eccyhmosis and periorbital edema. Proptosis and altered sensation on the face may be present. Reference: http://brownemblog.com/blog-1/2018/12/31/orbital-floor-blowout-fracture Image via: http://brownemblog.com/blog-1/2018/12/31/orbital-floor-blowout-fracture