
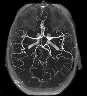
The Circle of Willis is an arterial polygon formed as the internal carotid and vertebral systems anastomose around the optic chiasm and infundibulum of the pituitary stalk in the suprasellar cistern. This communicating pathway allows equalization of blood-flow between the two sides of the brain, and permits anastomotic circulation, should a part of the circulation be occluded. It's named after Thomas Willis. (1621-1675)