
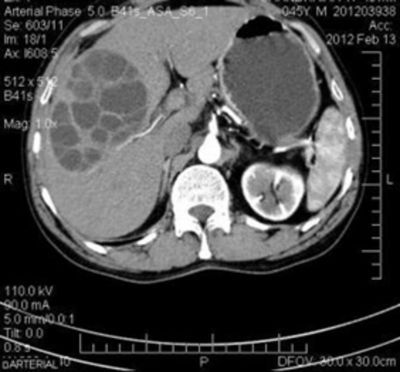
Hydatid cyst may arise anywhere in the body secondary to echinococcus infection. The daughter cysts of hydatid cyst may occur in two patterns: endogenous cysts and exogenous cysts. ENDOGENOUS CYST: Endogenous cysts are present within the main walls of the hydatid cyst as inward extension of lumen in the cystic mass EXOGENOUS CYST: The daughter cyst pushes the wall of main hydatid cyst and eventually disotrts the classic circular imaging pattern. Exogenous cysts are associated with recurrence after surgery. Reference: https://pubmed.ncbi.nlm.nih.gov/31749548/ Image via: https://ispub.com/IJPD/6/1/14471