
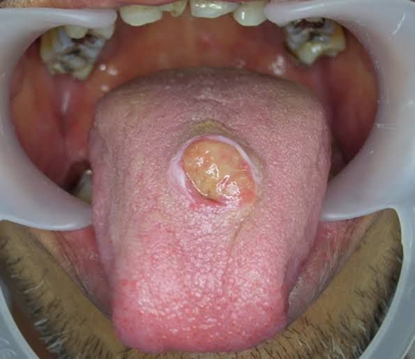
Adenosquamous carcinoma (ASC) is a rare malignant tumor of the oral and maxillofacial region characterized by mixed squamous and glandular differentiation and aggressive clinical behavior, such as extensive local invasion, recurrence, and rare metastasis By: .https://images.app.goo.gl/RYWX3d31ginCwyMa8