
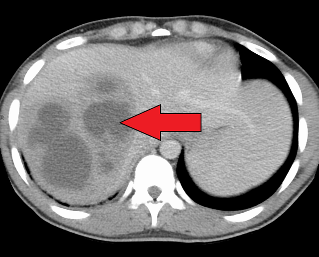
Pyogenic liver disease is an underdiagnosed disease. It is also a common cause of pyrexia of unknown origin. Pyogenic liver disease arises secondary to cholangitis, hematogenous spread, direct extension of gallbladder abscess, or through penetration or non-penetrating trauma. Pyogenic liver abscess can complicate appendicitis, colon disease, and dental sepsis. The common causative agents are E. coli, streptococcus milleri, and bacteriodes. The patient may present with fever, right upper quadrant pain and tenderness which may radiate to right shoulder. Chest x-ray may show raised right hemidiaphragm. Ultrasound guided aspiration and/or drainage are mainstay of management. Reference: Davidson's Principles and Practice of Medicine Image via: https://en.wikipedia.org/wiki/Pyogenic_liver_abscess