
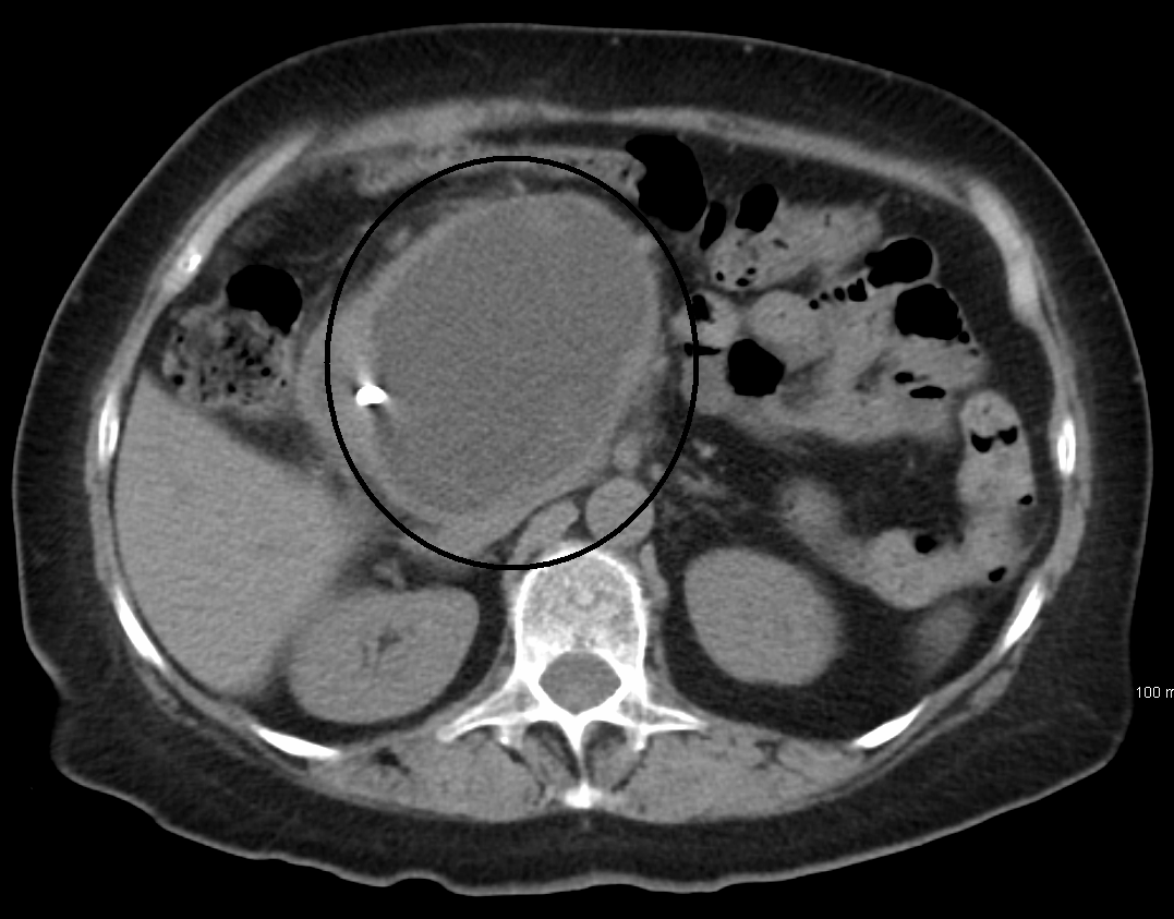
Pancreatic pseudocyst may develop as a complication of chronic pancreatitis. These are called pseudocyst since these are lined by fibrotic tissue in contrast to epithelium in true cysts. The pancreatic pseudocyst is mostly located in lesser sac. Pseudocysts are suspected when there is fever and persistently elevated pancreatic enzymes. The condition may be self-limiting. In other cases, surgical drainage may be required. Reference: https://surgery.ucsf.edu/conditions--procedures/pancreatic-pseudocysts.aspx Image via: https://surgery.ucsf.edu/conditions--procedures/pancreatic-pseudocysts.aspx