
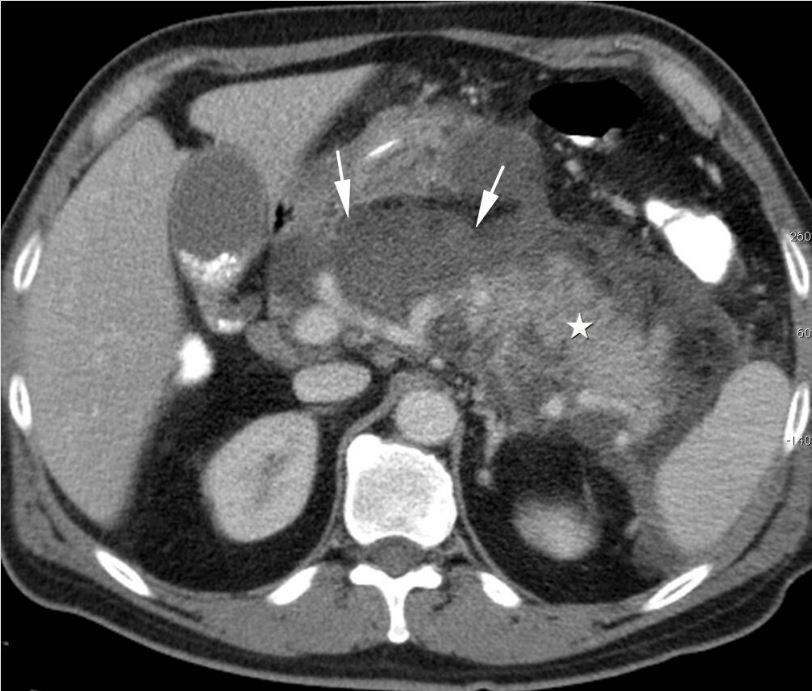
The typical features of acute pancreatitis on CT scan are as follows: - focal / diffuse enlargement of parenchyma - altered density secondary to edema - indistinct margins of pancreas secondary to swelling - retroperitoneal fat stranding Reference: https://radiopaedia.org/articles/acute-pancreatitis Image via: https://www.pancreapedia.org/reviews/imaging-assessment-of-etiology-and-severity-of-acute-pancreatitis