
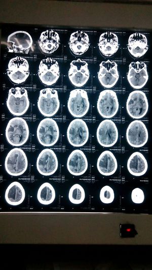
This 45 year old female experienced hypoperfusion during a minimally invasive mitral valve replacement surgery The patient showed delayed recovery upon admission to icu, first ct brain showed no abnormalities, however the patient didn't regain full consciousness. The follow up ct brain (shown above) showed multiple brain infarctions in both hemispheres
Did patient recover following any treatment? What treatments were attempted(fibrinolytics, surgery)?
Double antiplatelets(aspirin, clopidogrel). And no, she didn't recover