
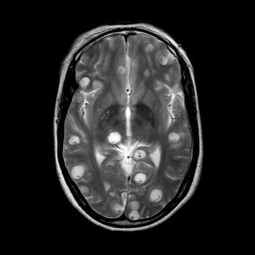
Neurocysticercosis refers to parasitic infection of the brain. The parasite involved is taenia solium. The parasites are present in the larval cysts. Neurocysticercosis is a common cause of seizures. It is the leading causes of adult onset generalized epilepsy. The risk of neurocysticercosis can be minimized by preventing ingestion of raw pig and following proper hygiene. Reference: https://www.cdc.gov/parasites/resources/pdf/npis_in_us_neurocysticercosis.pdf Image via: https://www.cancertherapyadvisor.com/home/decision-support-in-medicine/pediatrics/cysticercosis/