Feed
Library
Learning
Discuss
Leaderboard
Journal
Sign in
Login
Sign up
Sign in
Feed
Library
Learning
Discuss
Leaderboard
Journal
M
Muskan
about 2 years ago
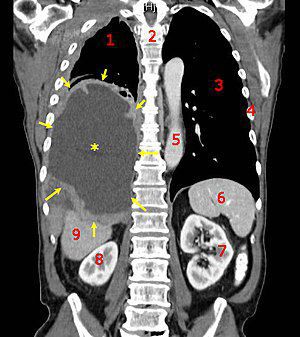
Malignant mesothelioma
Of
Tumour
Malignant
Description
24
0
5
Other comments
Sign in
to post comments. You don't have an account?
Sign up now!
Related posts
Giant cell tumour
Tenosynovial giant cell tumour.
Cyst of ganglion.
Malignant fibrous histiocytoma.
Malignant fibrous histiocytoma
Metastatic tumour
Tetralogy of Fallot
CALCIFYING EPITHELIAL ODONTOGENIC TUMOUR
Lipoma
Benign and Malignant Skin Lesions
Recent MCQs
Show more MCQs
Recent flashcard sets
Show more flashcards
Feed
Learn
Add
Search
Discuss