MEDizzy
MEDizzy
Zunaira saleh
Zunaira salehabout 1 year ago
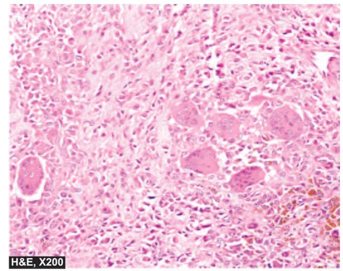
Tenosynovial giant cell tumour.

Tenosynovial giant cell tumour.

The tumour shows infiltrate of small oval to spindled histiocytes with numerous interspeed multinucleate giant cells lyning in a background of fibrous tissue.

0
Other commentsSign in to post comments. You don't have an account? Sign up now!

Recent MCQs















Show more MCQs

Recent flashcard sets















Show more flashcards