Feed
Library
Learning
Discuss
Leaderboard
Journal
Sign in
Login
Sign up
Sign in
Feed
Library
Learning
Discuss
Leaderboard
Journal
Dr Vijay Sharma
about 2 years ago
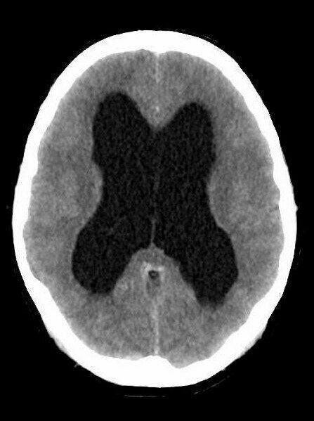
Non-communicating hydrocephalus, with dilated lateral and third ventricle, but normal fourth ventricle.
Medicine
Medstudent
Mbbs
Brain
Neurology
show 10 more
12
0
4
Other comments
Sign in
to post comments. You don't have an account?
Sign up now!
Related posts
Dandy Walker Malformation | Diagnosis symptoms and treatment
2-Minute Neuroscience: Brain Aneurysms
Seizures (Epilepsy) Nursing NCLEX: Tonic-Clonic, Generalized, Focal, Symptoms
Stroke: Causes, Risk Factors, Treatment, and Prevention | Mass General Brigham
Preparation for USMLE
Effects of sugar on teeth
Neurofibromatosis
Brain Blood Supply
Absence seizures
Symptoms of absence seizures
Recent MCQs
Show more MCQs
Recent flashcard sets
Show more flashcards
Feed
Learn
Add
Search
Discuss