
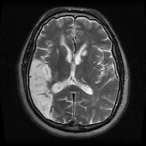
The rare symptoms of parietal stroke are: - Gerstmann Syndrome It is a sensory disorder characterized by inability to write, do calculations and identify fingers as well as left-right disorientation. - Apraxia Since stroke in the parietal lobe can interfere with the executive functioning, the individual suffering from parietal stroke can develop motor apraxia, constructional apraxia, ideomotor apraxia, and eye-opening ataxia. Reference: https://www.verywellhealth.com/effects-of-a-parietal-lobe-stroke-3146435#common-symptoms Image via: https://dizziness-and-balance.com/testing/ENG/cases/parietal%20lobe/case1.html