
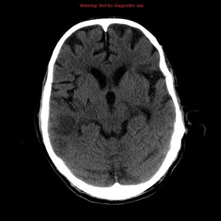
CT scan is the first line investigation of stroke. Ischemic stroke is usually not diagnosed immediately on CT. However, after few hours, following features appear that indicate diagnosis of stroke: - loss of grey and white matter differentiation - parenchymal swelling - lentiform nucleus changes - cortical hypodensity - gyral effacement Reference: https://radiopaedia.org/articles/ischaemic-stroke Image via: https://radiopaedia.org/articles/ischaemic-stroke